30 septembrie, 2025
30 septembrie, 2025

30 septembrie, 2025
Ce este Sindromul Prader-Willi (PWS)?
Care sunt caracteristicile clinice ale Sindromului Prader-Willi?
Ce inseamna managementul multidisciplinar in Sindromul Prader-Willi?
Recuperare si tehnologii moderne la Kinetic
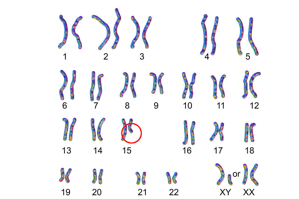
Sindromul Prader-Willi este o afectiune genetica rara, cauzata de anomalii pe cromozomul 15. Este considerat una dintre cele mai frecvente cauze genetice ale obezitatii severe la copii si implica multiple deficite fizice, cognitive si comportamentale. Copiii nascuti cu acest sindrom prezinta, in primele luni de viata, hipotonie musculara marcata si dificultati de alimentatie, iar ulterior dezvolta un apetit excesiv (hiperfagie), cu risc crescut de obezitate.
PWS afecteaza dezvoltarea intregului organism: de la tonus muscular si hormonii de crestere, la functionarea psihica si autonomia sociala.
Diagnosticul sindromului Prader-Willi se bazeaza pe un ansamblu de criterii clinice si este confirmat prin testare genetica. Medicul genetician suspecteaza afectiunea pe baza tabloului clinic, iar testele precum MLPA (Multiplex Ligation-dependent Probe Amplification) sau FISH (Fluorescent In Situ Hybridization) confirma prezenta unei anomalii genetice.
Criterii clinice majore si minore pentru diagnosticul PWS (conform Holm et al.)
| Tip criteriu | Exemple |
| Majore | Hipotonie la nastere, lipsa satietatii, obezitate severa |
| Minore | Ochii in forma de migdala, maini/picioare mici, probleme de vorbire |
| Genetice | Absenta expresiei genei paterne pe cromozomul 15 |
În aproximativ 70% dintre cazuri, sindromul apare din cauza unei stergeri a unei portiuni a cromozomului 15 de origine paterna, in regiunea 15q11-q13. Aceasta zona contine gene esentiale pentru dezvoltarea normala a sistemului nervos si a metabolismului.
În circa 25% dintre cazuri, copilul mosteneste doi cromozomi 15 de la mama si niciunul de la tata — o situatie denumita disomie uniparentala materna. Desi numarul de cromozomi este normal, expresia genelor paterne lipsa este cauza simptomelor.
Mai rar, sindromul poate fi cauzat de defecte in centrul de imprimare epigenetica, ceea ce impiedica activarea genelor paterne chiar daca cromozomii sunt prezenti. Aceste cazuri sunt cele mai rare si adesea implica mutatii ereditare.
Distributia cauzelor genetice in PWS
| Cauza genetica | Procent din cazuri |
| Ștergerea partiala a cromozomului 15 | ~70% |
| Disomie uniparentala materna | ~25% |
| Defect in centrul de imprimare | ~2-5% |
Sindromul Prader-Willi este considerat o boala genetica rara, cu o incidenta estimata intre 1 la 10.000 si 1 la 30.000 de nasteri vii. Desi rar, impactul asupra calitatii vietii este major, iar recunoasterea precoce este esentiala pentru interventii eficiente.
Gestionarea PWS implica resurse considerabile medicale, educationale si sociale. Familiile se confrunta cu dificultati in controlul comportamentului alimentar, probleme de somn, crize de furie, anxietate si nevoia de ingrijire constanta. Sistemul de sanatate trebuie sa asigure acces la echipe multidisciplinare: neurologi, endocrinologi, kinetoterapeuti, psihologi si nutritionisti.
Kinetic.ro vine in sprijinul acestor familii cu programe integrate de recuperare si reabilitare, personalizate pentru pacientii cu sindrom Prader-Willi, atat copii cat si adulti. Descopera serviciile de recuperare medicala pentru copii.
Manifestarile clinice ale sindromului Prader-Willi variaza semnificativ in functie de etapa de varsta. Tabloul simptomatic evolueaza pe masura ce pacientul creste, ceea ce face ca diagnosticarea si interventia sa fie uneori intarziate. Întelegerea particularitatilor pe grupe de varsta este esentiala pentru un management eficient si personalizat.
Simptomele sindromului Prader-Willi la sugari
Simptomele sindromului Prader-Willi la sugari sunt evidente si pot determina probleme severe de dezvoltare.
Hipotonia este primul si cel mai vizibil semn in perioada neonatala. Tonusul muscular scazut face ca bebelusul sa para moale la atingere, cu dificultati in miscarea membrelor si in sustinerea capului. Aceasta slabiciune afecteaza si functiile vitale, precum suptul si respiratia.
Hipotonia apare ca urmare a unui defect central, la nivelul hipotalamusului si trunchiului cerebral, afectand controlul neuromotor de baza.
Bebelusii cu PWS prezinta reflex de supt slab, iar coordonarea dintre supt, inghitit si respiratie este deficitara. Multi sugari au nevoie de alimentatie prin sonda nazogastrica in primele saptamani sau luni.
Tipuri de suport alimentar utilizate la sugari cu PWS
| Tip de alimentatie | Frecventa in PWS |
| Sonda nazogastrica | ~65% |
| Lapte matern sau formula adaptata | ~35% |
| Alimentatie orala asistata | ~50% (dupa 3 luni) |
Reflexele primitive (supt, prindere palmara, Moro) sunt slab exprimate. Pe termen mediu, apar intarzieri in dezvoltarea motorie globala, cum ar fi:
Evaluarea timpurie de catre un kinetoterapeut pediatric este cruciala pentru initierea precoce a terapiei motorii.
Bebelusii cu PWS au un plans slab si rar, par adesea somnolenti si au un nivel redus de activitate. Acest comportament poate fi confundat cu „cumintenia” si duce la intarzierea diagnosticului.
La copii, simptomele sindromului Prader-Willi pot fi mai dificil de identificat si diferentiat fata de alte patlogii.
Dupa varsta de 1-2 ani, apare hiperfagia progresiva, o caracteristica definitorie a PWS. Copilul pare sa nu simta satietatea, cere mancare frecvent, cauta alimente si devine anxios sau furios daca este restrictionat.
Cresterea rapida in greutate in lipsa unui control strict caloric poate duce la obezitate severa inca din copilarie, chiar si in jurul varstei de 3-4 ani.
Comportamentul copiilor cu PWS este marcat de:
Din punct de vedere cognitiv, IQ-ul mediu variaza intre 60–70, insa abilitatile practice pot fi mai bine dezvoltate decat cele verbale.
Copiii cu PWS pot avea intarziere atat in intelegerea limbajului, cat si in exprimarea verbala. Vocabularul este limitat, iar pronuntia poate fi afectata de hipotonia faciala si orala.
Interventii recomandate: terapie logopedica intensiva, sustinuta de exercitii de tonifiere a musculaturii orofaciale.
Tulburarile musculare contribuie la aparitia unor probleme ortopedice precum:
Kinetoterapia are un rol crucial in prevenirea si corectarea posturilor vicioase.
Peste 70% dintre copiii cu PWS prezinta deficit de hormon de crestere (GH), responsabil pentru:
Tratamentul cu GH aduce beneficii importante: crestere in inaltime, scaderea masei grase, cresterea tonusului muscular.
În Romania, terapia cu hormon de crestere poate fi decontata prin programele nationale pentru boli rare.
Sindromul Prader-Willi are simptome si in cazul adultilor.
Hipogonadismul este frecvent si se manifesta prin:
Terapia de substitutie hormonala poate imbunatati calitatea vietii si stima de sine.
Daca hiperfagia nu este controlata, pacientii ajung la obezitate severa, care la randul ei favorizeaza:
Complicatii metabolice frecvente la adultii cu PWS
| Complicatie | Prevalenta estimata |
| Diabet zaharat tip 2 | 25–30% |
| Apnee de somn | >60% |
| Hipertensiune arteriala | 40–50% |
| Dislipidemie | 45% |
Adultii cu PWS pot dezvolta:
Suportul psihologic si psihiatria de specialitate sunt esentiale pentru echilibru emotional.
Majoritatea adultilor cu PWS au un nivel redus de autonomie si necesita supervizare constanta, mai ales in gestionarea alimentatiei. Totusi, cu interventii adecvate, pot fi integrati in:
Kinetic.ro colaboreaza cu familii si specialisti pentru a crea programe personalizate de reabilitare si incluziune sociala a tinerilor si adultilor cu PWS. Descopera programele de reabilitare neuro-motorie pentru adulti
Sindromul Prader-Willi (PWS) este o afectiune complexa, cu multiple manifestari la nivel genetic, endocrin, neurologic, comportamental si metabolic. Din acest motiv, ingrijirea unei persoane cu PWS necesita o abordare multidisciplinara integrata, centrata pe pacient si adaptata etapelor de dezvoltare.
Un management eficient nu se limiteaza la tratarea simptomelor, ci presupune preventie, interventie timpurie, educatie familiala si sustinerea autonomiei in masura posibilului.
Iata care este componenta ideala a unei echipe medicale multidisciplinare care sa se adreseze tuturor problemelor pe care le presupune sindromul Prader-Willi:
Este primul specialist care suspecteaza si confirma diagnosticul de PWS prin teste genetice precum FISH, MLPA sau microarray. Rolul sau nu se incheie aici – el ofera si consiliere genetica familiala, explicand riscurile recurente in familie si variantele genetice implicate.
Este un membru esential in echipa, avand in vedere impactul sindromului asupra functiei endocrine. Endocrinologul monitorizeaza:
El coordoneaza terapia hormonala si ajustarile dozelor in timp.
Nutritionistul are un rol critic in controlul hiperfagiei si al cresterii in greutate. Colaboreaza cu familia pentru a:
În multe familii, mancarea trebuie securizata fizic (dulapuri incuiate, frigidere cu alarma).
Tulburarile comportamentale si dificultatile de reglare emotionala sunt frecvente in PWS. Psihologul ofera:
Hipotonia, scolioza si tulburarile de mers sunt comune in PWS. Kinetoterapeutul colaboreaza in mod constant pentru a:
Kinetic.ro ofera programe personalizate de kinetoterapie pentru copii si adulti cu PWS, bazate pe evaluari functionale avansate.
La adolescenti si adulti, pot aparea tulburari psihiatrice precum depresia, anxietatea severa sau episoade psihotice. Medicul psihiatru este implicat in:
Exista mai multe interventii terapeutice necesare pentru a imbunatati calitatea vietii persoanelor diagnosticate cu sindrom Prader-Willi.
Administrarea hormonului de crestere (GH) este una dintre cele mai eficiente interventii in PWS. Ea are multiple beneficii:
Terapia este recomandata inca din copilarie si continuata in adolescenta/adult, sub monitorizare endocrinologica.
Terapia comportamentala este vitala pentru controlul:
Educatia speciala adaptata, insotita de interventii ABA (analiza comportamentala aplicata) in unele cazuri, contribuie la dezvoltarea abilitatilor sociale si academice.
Planul alimentar trebuie sa fie:
Programe de kinetoterapie si recuperare fizica
Scopul kinetoterapiei in PWS este dublu:
Kinetic foloseste tehnologii moderne precum:
Biomecanica este o ramura relativ noua in recuperarea medicala. Afla mai multe despre tehnologiile de evaluare biomecanica disponibile la Kinetic.
Gestionarea sindromului Prader-Willi necesita o abordare complexa si personalizata, care sa raspunda nevoilor fizice, cognitive si comportamentale ale fiecarui pacient. La Kinetic.ro, programele de recuperare sunt dezvoltate de o echipa multidisciplinara, formata din kinetoterapeuti, fizioterapeuti, medic ortoped si medic reumatolog, oferind o interventie integrata si adaptata fiecarei etape de dezvoltare.
Kinetoterapia, componenta esentiala in tratamentul copiilor si adultilor cu sindrom Prader-Willi, contribuie la:
Tehnologiile moderne implementate la Kinetic.ro faciliteaza un proces de recuperare mai eficient si motivant. Printre acestea se numara:
Prin integrarea acestor tehnologii moderne cu planuri terapeutice individualizate, Kinetic.ro reuseste sa ofere pacientilor cu sindrom Prader-Willi nu doar o sansa reala la o viata mai activa, ci si un mediu modern, sigur si empatic, in care progresul este sustinut continuu. Fa chiar acum o programare si echipa Kinetic te va ajuta sa iti imbunatatesti calitatea vietii!
Mai jos regăsești răspunsurile la cele mai frecvente întrebări legate de [TOPIC].
Nu, sindromul Prader-Willi nu poate fi prevenit, deoarece este cauzat de o modificare genetica aleatorie care apare in timpul formarii ovulului sau spermatozoidului. Cu toate acestea, in cazul familiilor cu antecedente genetice, consilierea genetica poate oferi informatii despre riscuri si optiuni reproductive.
Copiii cu sindrom Prader-Willi pot beneficia de programe educationale adaptate, care pun accent pe rutina, claritate si sprijin emotional. Nevoile lor pot include suport suplimentar pentru limbaj, strategie comportamentala personalizata si ritm de invatare ajustat, in functie de nivelul cognitiv si de gradul de hiperfagie.
Da, in majoritatea tarilor, PWS este recunoscut ca o dizabilitate, atat din perspectiva fizica (hipotonie, tulburari endocrine), cat si intelectuala si comportamentala. Acest statut ofera acces la servicii speciale, sprijin educational si beneficii sociale pentru pacienti si familiile lor.
Familia are un rol central in ingrijirea persoanei cu sindrom Prader-Willi. Este implicata in controlul comportamentului alimentar, aplicarea rutinelor zilnice, sustinerea terapiilor si mentinerea unui mediu emotional stabil. Educatia parentala este esentiala pentru a face fata provocarilor pe termen lung.
În prezent, nu exista un tratament curativ pentru Sindromul Prader-Willi. Abordarea este simptomatica si multidisciplinara, concentrandu-se pe imbunatatirea calitatii vietii prin terapii hormonale, nutritionale, psihologice si fizice. Cercetarile genetice in curs vizeaza dezvoltarea unor terapii genice sau epigenetice.
În general, nivelul de independenta este limitat, dar cu sprijin adecvat, unii tineri sau adulti cu PWS pot atinge un grad moderat de autonomie. Acest lucru depinde de severitatea simptomelor, de interventia timpurie si de integrarea in centre sau comunitati care ofera supraveghere si sprijin specific.
Activitatile fizice recomandate sunt cele cu impact redus, dar care stimuleaza mobilitatea si controlul motor: inotul, mersul pe jos, exercitiile de echilibru, dansul adaptat sau yoga pentru copii. Este important ca activitatea sa fie placuta, structurata si adaptata nivelului de tonus si rezistenta al fiecarei persoane.
Strategiile eficiente includ anticiparea situatiilor care provoaca stres, utilizarea de rutine clare, comunicarea calma si ferma, evitarea confruntarilor directe si apelarea la tehnici de reglare emotionala invatate in terapie. Psihoterapia comportamentala este deosebit de utila in reducerea acestor episoade.
Da, in Romania exista organizatii si grupuri de sprijin pentru familiile persoanelor cu boli rare, inclusiv sindrom Prader-Willi. Acestea ofera resurse informationale, consiliere, oportunitati de socializare si schimb de experienta. De asemenea, multe centre private sau ONG-uri colaboreaza cu specialisti pentru a oferi sprijin emotional si logistic parintilor.
Surse de documentare:
Sursa foto: Shutterstock
Ai fost deja la noi și ai de programat sedințele de recuperare? Sună la *8800 sau lasă-ne un mesaj prin formular
Ai fost deja la noi și ai de programat ședințele de recuperare?

Abonează-te la newsletter pentru a afla noutățile despre serviciile și ofertele noastre.
Înscrierea ta s-a realizat cu succes!